YC科技资讯网

美国网友纷纷改口,中国AI到底有什么魅力? 今年1月份,纽约时报用整版报道了阿

美国网友纷纷改口,中国AI到底有什么魅力?

今年1月份,纽约时报用整版报道了阿里达摩院的胰腺癌筛查技术,结果没想到的是,美国网友的反应出奇的一致。

不是一致的嘲讽,而是一致的点赞。在留言区有美国网友就点赞说:“这才是新兴技术的正确用法”。

另一个美国网友则是直言:“中国走上了一条不同的AI之路:解决实际问题”。

美国网友的转向并非没有原因,一个留言就道出了真相:中国科技巨头的AI可以检测肿瘤,而美国科技巨头的AI却忙着收会员费牟利。

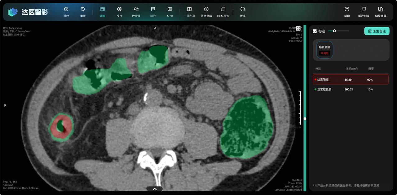
像是为了印证这一观点,仅仅三个月后,阿里达摩院再次在癌症筛查上迎来突破。联合广东省人民医院等机构研发出了肠癌筛查AI模型DAMO COCA,再次登上影响因子高达65.4的顶刊《肿瘤学年鉴》,论文显示,这项技术成功在2.7万人的平扫CT中发现了5例肠癌漏诊病例,在全球范围内首次实现“无感”肠癌筛查。

反观美国,想要做一个癌症筛查并不容易,花费基本都得上千美元,普通人难以承受,几乎是为了富人专属使用。

但是在中国,通过AI技术,却已经可以实现大规模的肠癌、胰腺癌等癌症的早期筛查,并且成本极低,仅需拍一张普通的平扫CT,通过AI就能发现病变,无疑更加被人们所接受。

说白了,美国网友的口风转变并非没有道理,因为不管是全球哪个地方的老百姓都是一样的,都希望新兴技术能够服务于民,能够帮助社会解决难题。

而很明显,美国AI商业化路线和中国阿里AI社会价值路线比起来,后者无疑更被大家所认可。